El conocimiento marca la diferencia y nosotros estamos comprometidos a que nuestros estudiantes, odontólogos y especialistas sean diferentes.
Consolidar el liderazgo de RA Educación como centro de referencia nacional e internacional en capacitación odontológica y de producción intelectual.
Ser el centro de educación líder en formación y capacitación odontológica, innovando y con tecnología de punta que nos permita fortalecer la educación y el conocimiento científico en odontología.
Temas de actualidad que están marcando la pauta en los diferentes estudios e investigaciones en odontología y de procedimientos clínicos basados en evidencia científica.
- Charlas y conversatorios de las diferentes especialidades en odontología.
- Teóricas Demostrativas.
Desarrollo de actividades Preclínicas y clínicas especificas para el desarrollo de habilidades
y destrezas de los diferentes procedimientos odontológicos, realizadas con diferentes estrategias
que permitan afianzar y reforzar el conocimiento.
- Adiestramiento clínico y preclínico.
- Adiestramiento clínico de capacitación visual (Fellow).
Sesiones de estudio y de discusión de artículos científicos de actualidad y de referencia en las diferentes especialidades en odontología.
Diseñado para que nuestros alumnos realicen actividades clínicas especificas de las diferentes especialidades con la posibilidad de reforzar el conocimiento adquirido con las prácticas clínicas en pacientes.
Asesores metodológicos y de contenido, con Phd en ciencias de la educación de orientación y acompañamiento durante todo el proceso de elaboración y desarrollo del trabajo de investigación
Planificar y ejecutar la concepción del servicio odontológico, la fijación, la comunicación que se da en el consultorio dental y la distribución del servicio dental, para crear procesos de intercambio que satisfagan las necesidades, expectativas y deseos de los pacientes, así mismo la actitud que tienen los odontólogos, para relacionarse con sus pacientes (marketing externo) y el personal de la empresa-consultorio (marketing interno), buscando siempre el establecimiento de relaciones mutuamente beneficiosas.

Dr. Raúl Aponte Rendón, Odontólogo especializado en Endodoncia, egresado de la Universidad Internacional de Cataluña, Barcelona – España.
Cuenta con PHd en Ciencias de la Educación, egresado de la Universidad Pedagógica Experimental Libertador UPEL, Venezuela.
El Dr. Raúl Aponte cuenta con más de 18 años de experiencia en tratamientos de Endodoncia y ha realizado más de 20.000
tratamientos de casos de endodoncias. Actualmente es el Director de RA Educación, Centro

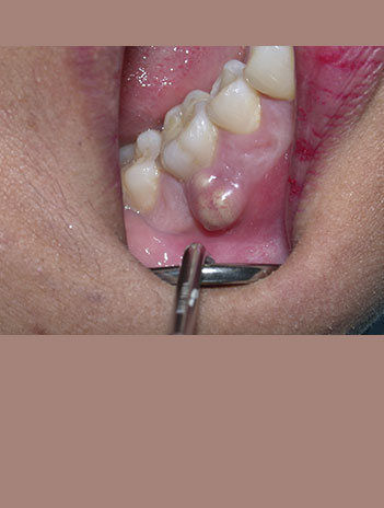
El control del dolor en odontología y en la endodoncia constituye un desafío tanto de diagnóstico como en el tratamiento,
es necesario conocer bien y dominar diferentes aspectos de la endodoncia, de lo contrario, pueden producirse consecuencias
muy graves para el paciente. Un diagnóstico y tratamiento incorrecto no permitirán aliviar el dolor y podrían hasta agravar
la situación.
El odontólogo debe conocer bien los mecanismos del dolor, la forma de manejar al paciente, el diagnóstico, las técnicas anestesicas, el tratamiento.

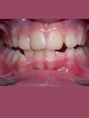
La traumatología dental es la rama de la odontología que aborda la epidemiologia, etiología, prevención, evaluación,
diagnostico y tratamiento de los traumatismos producidos sobre los maxilares y los tejidos circundantes.
El manejo de las lesiones traumáticas es una fuente constante de dificultades para el clínico, debido a la
complejidad del diagnóstico y el tratamiento adecuado, por lo general se presentan no como lesiones únicas sino
múltiples en el mismo paciente; sin olvidar que además frecuentemente están acompañadas de la afección de estructuras
vecinas, en cara y cráneo.



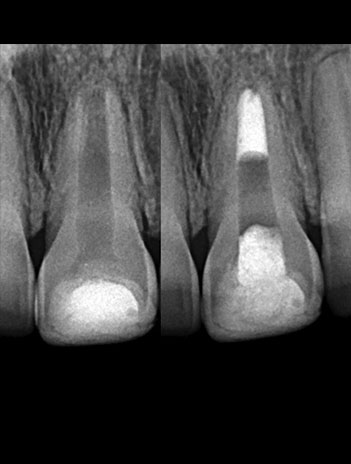
Es el tratamiento que se realiza en un diente con desarrollo radicular incompleto con necrosis pulpar, con la finalidad de inducir o permitir la formación de una barrera calcificada, a través de un relleno tridimensional del espacio existente, con materiales que proporcionen las condiciones e induzcan la formación de tejido mineralizado y que permitan el desarrollo radicular completo.

El microscopio operatorio nos permite ver aumentos de tamaño considerables de la zona de trabajo y de esta manera realizar tratamientos y procedimientos mas predecibles, disminuyendo los errores de procedimiento durante la realización de la endodoncia. A su vez es una herramienta que nos permite solucionar errores y accidentes producidos durante tratamientos de conductos convencionales o sin microscopio.








